Introduction: A Gateway to Perfect Alignment
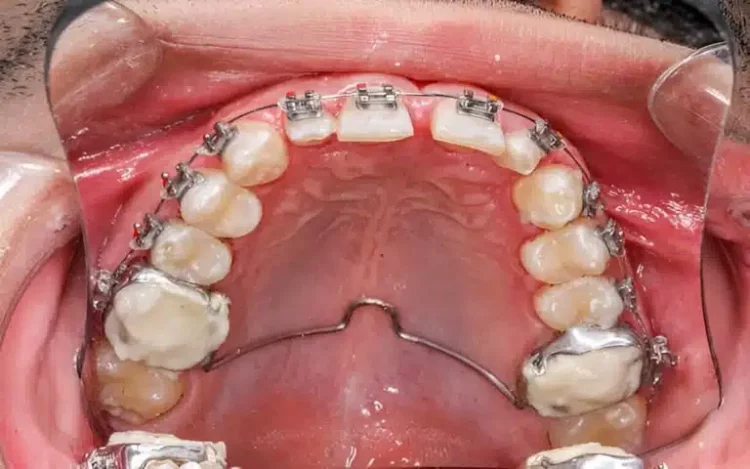
Dear Mr. Ni, the palate expander is an innovative orthodontic device designed to gently expand the dental arch, thereby creating ample space for teeth alignment. This corrective tool is instrumental in addressing the common issue of crowded teeth. By utilizing a palate expander, patients can achieve a harmonious and well-organized smile.
Indications for Use: Who Benefits from a Palate Expander?
The palate expander is indicated for several specific cases:
- Mild Crowding and Narrow Arches: For individuals experiencing mild dental crowding with narrow dental arches but possessing sufficient skeletal width, the use of a palate expander can often preclude the need for extraction procedures.
- Correction of Posterior Crossbite: This device proves invaluable for patients with a posterior crossbite, particularly when there is a discrepancy in the width of the upper and lower dental arches. When the width of the upper posterior teeth is inadequate, employing a palate expander allows for the correction of this imbalance.
- Age Considerations: It is essential to note that palate expanders are most effective in adolescents whose palatal sutures have not yet fused. Generally, this timing occurs prior to full adolescence. For adult patients requiring expansion, surgical intervention known as midpalatal suture osteotomy may be necessary, as expansion in this demographic can be misleading and superficial without such procedures.

Contraindications: When Expansion is Not Recommended
While palate expanders can be transformative, certain conditions render their use inadvisable:
- Insufficient Skeletal Support: Patients lacking adequate skeletal support in their dental arches may not be suitable candidates for this device.
- Facial Structure Considerations: Patients with long face syndrome or a high-angle classification—characterized by an obtuse mandibular plane angle—may find that expansion exacerbates facial disproportions by elongating the lower third of the face. In these cases, careful evaluation is crucial before proceeding with treatment.
Duration of Treatment: A Personalized Journey
The timeline for treatment varies significantly between individuals due to differences in oral and dental anatomy. Typically, the process may take approximately one and a half to two years to complete, providing a personalized journey towards achieving a well-aligned smile.
Conclusion: The Promise of a New Smile
In conclusion, the palate expander represents a significant advancement in orthodontics, offering solutions for misaligned and crowded teeth. By understanding the indications, benefits, and limitations of palate expansion, patients can make informed decisions that lead them to the promise of a beautiful, confident smile.











































Discussion about this post