In the pursuit of an ideal smile, we often focus intensely on the color, shape, and alignment of our teeth. Yet, two of the most powerful framing elements of our smile are frequently overlooked: the lips and the gums. These soft tissues act as the dynamic curtain and the static stage upon which the teeth—the main performers—are displayed. An imbalance here, such as a “gummy” smile or thin, uneven lips, can detract from even the most perfect set of teeth. This has given rise to two distinct but often complementary cosmetic procedures: gum contouring and lip contouring. Both aim to create a more harmonious, balanced, and aesthetically pleasing frame for the smile. But as with any cosmetic intervention, a critical question arises: are the process and the commitment worth the final result?
These procedures represent a shift from traditional restorative dentistry to a more artistic, architectural approach to facial aesthetics. They are not about fixing disease, but about refining proportions. This article will provide a clear, detailed explanation of what these procedures entail, guide you through the crucial healing and recovery process, and offer a realistic look at the long-term results and considerations to help you determine if this investment in your smile’s frame is the right choice for you.
Reshaping the Frame: A Detailed Procedure Explanation
Lip and gum contouring are separate procedures, but they are united by a common goal: optimizing the tooth-to-tissue display for a more balanced smile.
Gum Contouring (Gingivectomy/Gingivoplasty):
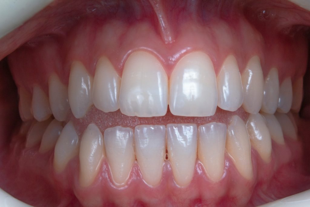
This procedure is designed to reshape the gum line. It is most commonly performed to address a “gummy smile,” where an overabundance of gum tissue makes the teeth appear short and square, or to correct an uneven gum line that creates a crooked or asymmetrical look.
- The Process: The procedure is typically quick and performed under local anesthesia.
- Marking and Planning: The dentist first uses a periodontal probe and marking pen to draw the ideal new gum line directly onto the tissue, following the natural scalloped contour of the teeth. This plan is often informed by digital smile design software.
- Reshaping: Using a precision dental laser (the most modern and preferred method) or a scalpel, the dentist carefully removes the excess gum tissue below the marked line. Dental lasers are particularly advantageous as they cauterize the tissue as they cut, resulting in minimal bleeding and reduced post-operative discomfort.
- Smoothing and Refining: The dentist then refines and smooths the new gum line (gingivoplasty) to ensure a natural, healthy-looking contour that hugs each tooth perfectly.
Lip Contouring (Lip Lift/Vermilion Advancement):
While gum contouring adjusts the stage, lip contouring adjusts the curtain. Performed by a cosmetic surgeon or a specially trained dentist, its goal is to enhance the lip’s shape, volume, and position.
- The Bullhorn Lip Lift: This is the most common procedure for addressing a long upper lip and a lack of tooth show in a relaxed state. A small, strategically placed incision is made just under the nose (in the natural crease where the nose meets the lip). A strip of skin is removed, and the underlying muscle is tightened, which “lifts” the entire lip upward. This results in a shorter distance between the nose and the lip, revealing more of the upper teeth at rest, creating a more youthful and approachable appearance.
- Lip Fillers (Hyaluronic Acid): While not a surgical contour, dermal fillers are a non-permanent method of lip contouring. They can be used to add volume, define the lip border (the vermilion line), and evert the lip slightly to show more of the red, mucosal part of the lip, thereby creating a fuller, more pronounced frame for the smile.

The Road to Recovery: Navigating the Healing Process
The experience and timeline of healing differ significantly between gum and lip contouring, and understanding this is crucial for setting realistic expectations.
Gum Contouring Healing:
Thanks to modern laser technology, recovery from gum contouring is remarkably straightforward.
- Immediately After: There is minimal to no bleeding. The area may feel slightly tender or sore, similar to a canker sore, but this is easily managed with over-the-counter pain relievers.
- First Few Days: Patients are advised to eat soft, cool foods and avoid anything spicy, crunchy, or hot that could irritate the tissue. A prescribed or recommended antimicrobial mouthwash is often used to keep the area clean.
- The First Week: The gums will begin to heal rapidly. A white or yellowish film may form; this is fibrin, a normal part of the healing process, and should not be mistaken for pus or infection. The new gum line will start to look more natural as any initial swelling subsides.
- Full Healing: Within 1-2 weeks, the gums are typically fully healed, revealing the final, refined contour.
Lip Contouring (Surgical) Healing:
Recovery from a surgical lip lift is more involved.
- Immediately After: Swelling and bruising around the upper lip and nose are expected. There will be visible sutures at the base of the nose.
- First Week: Swelling peaks within the first 48-72 hours. Patients must follow strict post-operative care, including keeping the head elevated, applying cold compresses, and cleaning the incision site as directed. A soft-food diet is essential.
- Suture Removal: Sutures are typically removed after 5-7 days. At this point, much of the bruising will have faded, but swelling will persist.
- Long-Term Resolution: While the initial healing happens in 1-2 weeks, it can take 3-6 months for all residual swelling to completely resolve and for the scar to mature and fade into the natural crease under the nose.
The Final Picture: Evaluating Long-Term Results and Value
The ultimate question of “worth” hinges on the longevity, stability, and impact of the results.
Gum Contouring:
- Permanence: The results of gum contouring are generally permanent. The removed gum tissue does not grow back. However, long-term stability is entirely dependent on excellent oral hygiene. Untreated gum disease can still cause recession, altering the new contour over many years.
- The Value Proposition: For someone with a gummy smile, the transformation is immediate and profound. It can make teeth appear longer and more proportional, often eliminating the need for veneers or crowns to achieve the desired aesthetic. The cost is relatively low compared to full-mouth restorations, and the recovery is minimal. For these patients, the procedure is often considered highly worthwhile.
Lip Contouring (Surgical):
- Permanence: A surgical lip lift is also considered a permanent procedure, though the effects can soften slightly with age as natural skin laxity returns over many years.
- The Value Proposition: The value here is more subjective and significant. It is a facial cosmetic surgery with a more substantial recovery and a permanent scar (though well-concealed). The payoff is a more youthful, defined lip that beautifully frames the upper teeth. For individuals who are self-conscious about their long upper lip or lack of tooth show, the psychological boost and aesthetic improvement can be life-changing. It’s a decision that requires careful consultation with a qualified professional and deep personal consideration.
Conclusion: An Investment in Proportion and Confidence
So, is lip and gum contouring worth it? The answer is a resounding “it depends”—on your specific anatomical concerns, your aesthetic goals, and your tolerance for the process.
For the right candidate, gum contouring is one of the most cost-effective and high-impact procedures in cosmetic dentistry. It permanently refines the smile’s architecture with minimal downtime. Surgical lip contouring is a more profound commitment, but for those seeking a lasting solution to a long upper lip, it offers a structural change that fillers cannot match.
The true worth of these procedures is not measured in millimeters of tissue removed or added, but in the enhanced harmony and balance they bring to the entire face. By carefully reshaping the frame, they allow the smile itself to take center stage, often unlocking a new level of confidence that makes the journey, for those who choose it, undoubtedly worthwhile.











































Discussion about this post