Introduction
Tooth discoloration is a common problem faced by many people, which not only affects aesthetics but may also reflect oral health conditions. There are various reasons for tooth discoloration, involving both internal and external factors. This article will delve into the truth behind tooth discoloration, analyze its causes, symptoms, prevention, and treatment methods, and help readers comprehensively understand and manage this issue.
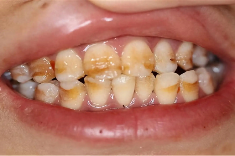
Symptoms of tooth discoloration
The manifestations of tooth discoloration are diverse, and common symptoms include:
- Yellow or brown discoloration: This is the most common type of tooth discoloration, typically appearing on the surface of teeth.
- Grey or black discoloration: These colors usually appear inside teeth and may be caused by medication or other internal factors.
- White or transparent spots : These spots may appear on the surface of teeth, usually due to demineralization or fluorosis.
- Uneven discoloration: The discoloration on teeth may be unevenly distributed, with some areas having darker colors and others having lighter colors.
Causes of tooth discoloration
The reasons for tooth discoloration can be divided into two categories: internal factors and external factors:
Internal factors
- Age increase : As age increases, enamel gradually wears away, dentin is exposed, and teeth appear more yellow.
- Drug effects : Certain drugs, such as tetracycline antibiotics, can cause permanent discoloration during tooth development.
- Dental pulp necrosis : Dental pulp necrosis caused by trauma or infection may result in teeth turning gray or black.
- Dental fluorosis: Excessive intake of fluoride, especially during tooth development, may cause white or brown spots on the surface of teeth.
- Genetic factors : Certain genetic diseases may lead to tooth pigmentation, such as congenital syphilis.
External factors
- Dietary habits : Frequent intake of foods and beverages containing pigments, such as coffee, tea, red wine, berries, etc., may lead to surface staining of teeth.
- Tobacco use: Nicotine and tar from smoking or chewing tobacco can deposit on the surface of teeth, causing yellow or brown discoloration.
- Poor oral hygiene: Accumulation of dental plaque and tartar not only affects oral health, but also causes discoloration of teeth.
- Oral care products : Some ingredients in mouthwash and toothpaste, such as chlorhexidine, may cause staining on the surface of teeth.
- Dental restoration materials : Some dental restoration materials, such as amalgam, may change color over time and affect aesthetics.
Preventive measures
The key to preventing tooth discoloration lies in improving lifestyle habits and maintaining good oral hygiene:
- Healthy diet :
Reduce pigment intake : Limit the intake of pigment containing foods and beverages such as coffee, tea, and red wine.
Balanced diet : Consuming foods rich in vitamin C and calcium can enhance the health of teeth and gums.
Rinse mouth after meals: Rinse mouth with water or fluoride mouthwash after eating to reduce the accumulation of food residues and pigments. - Maintain oral hygiene :
Correct brushing : Brush your teeth at least twice a day for at least two minutes each time, using fluoride toothpaste.
Use dental floss : Use dental floss or interdental brushes daily to clean the gaps between teeth and remove dental plaque.
Mouthwash : Use antibacterial mouthwash to reduce the number of bacteria in the mouth and prevent periodontal disease. - Quit smoking :
Avoid tobacco : Smoking is an important factor that can cause discoloration of teeth, and smoking should be quit as much as possible.
Substitutes : Use nicotine patches or gum substitutes to help quit smoking. - Regular Inspection :
Dental examination: Conduct a comprehensive dental examination every six months to one year to promptly detect and treat early lesions.
Professional scaling : Regularly perform dental scaling to remove tartar and plaque, and prevent periodontal disease.
Treatment methods
Once tooth discoloration occurs, seek medical attention promptly and take appropriate treatment measures according to the condition:
- Basic treatment :
Cleaning and Polishing : Removing tartar and plaque through cleaning, polishing the surface of teeth, and reducing pigmentation.
Fluoride treatment : Use fluoride gel or mouthwash to help strengthen enamel and reduce sensitivity. - Professional Whitening :
Home Whitening Kit: Use commercially available home whitening kits and follow the instructions to gradually improve tooth color.
Clinic Whitening: Under the guidance of a dentist, professional teeth whitening treatments such as laser whitening or cold light whitening can achieve more significant results. - Endogenous discoloration treatment :
Medication therapy : For endogenous discoloration such as tetracycline teeth, bleach or medication therapy can be attempted.
Dental crowns or veneers: For severe endogenous discoloration, dental crowns or veneers can be considered for restoration to restore dental aesthetics. - Dental pulp treatment :
Root canal treatment: For discoloration caused by pulp necrosis, bleaching agents or restorative materials can be used to restore tooth color after root canal treatment. - Laser therapy :
Laser Whitening: Using lowintensity lasers to activate whitening agents, accelerate pigment decomposition, and achieve whitening effects.
Laser depigmentation: For specific pigmentation, laser is used to remove pigments and restore the natural color of teeth.
Conclusion
Tooth discoloration is a problem caused by multiple factors, involving both internal and external factors. By understanding the causes, symptoms, and prevention methods of tooth discoloration, we can take scientific and reasonable measures to effectively manage and prevent this problem. I hope this article can help readers better understand the truth behind tooth discoloration, take appropriate preventive and treatment measures, and protect their own and their family’s oral health. Through comprehensive management and timely treatment, we can have white and bright teeth and show a confident smile.Introduction
Tooth discoloration is a common problem faced by many people, which not only affects aesthetics but may also reflect oral health conditions. There are various reasons for tooth discoloration, involving both internal and external factors. This article will delve into the truth behind tooth discoloration, analyze its causes, symptoms, prevention, and treatment methods, and help readers comprehensively understand and manage this issue.
Symptoms of tooth discoloration
The manifestations of tooth discoloration are diverse, and common symptoms include:
- Yellow or brown discoloration: This is the most common type of tooth discoloration, typically appearing on the surface of teeth.
- Grey or black discoloration: These colors usually appear inside teeth and may be caused by medication or other internal factors.
- White or transparent spots : These spots may appear on the surface of teeth, usually due to demineralization or fluorosis.
- Uneven discoloration: The discoloration on teeth may be unevenly distributed, with some areas having darker colors and others having lighter colors.
Causes of tooth discoloration
The reasons for tooth discoloration can be divided into two categories: internal factors and external factors:
Internal factors
- Age increase : As age increases, enamel gradually wears away, dentin is exposed, and teeth appear more yellow.
- Drug effects : Certain drugs, such as tetracycline antibiotics, can cause permanent discoloration during tooth development.
- Dental pulp necrosis : Dental pulp necrosis caused by trauma or infection may result in teeth turning gray or black.
- Dental fluorosis: Excessive intake of fluoride, especially during tooth development, may cause white or brown spots on the surface of teeth.
- Genetic factors : Certain genetic diseases may lead to tooth pigmentation, such as congenital syphilis.
External factors
- Dietary habits : Frequent intake of foods and beverages containing pigments, such as coffee, tea, red wine, berries, etc., may lead to surface staining of teeth.
- Tobacco use: Nicotine and tar from smoking or chewing tobacco can deposit on the surface of teeth, causing yellow or brown discoloration.
- Poor oral hygiene: Accumulation of dental plaque and tartar not only affects oral health, but also causes discoloration of teeth.
- Oral care products : Some ingredients in mouthwash and toothpaste, such as chlorhexidine, may cause staining on the surface of teeth.
- Dental restoration materials : Some dental restoration materials, such as amalgam, may change color over time and affect aesthetics.
Preventive measures
The key to preventing tooth discoloration lies in improving lifestyle habits and maintaining good oral hygiene:
- Healthy diet :
Reduce pigment intake : Limit the intake of pigment containing foods and beverages such as coffee, tea, and red wine.
Balanced diet : Consuming foods rich in vitamin C and calcium can enhance the health of teeth and gums.
Rinse mouth after meals: Rinse mouth with water or fluoride mouthwash after eating to reduce the accumulation of food residues and pigments. - Maintain oral hygiene :
Correct brushing : Brush your teeth at least twice a day for at least two minutes each time, using fluoride toothpaste.
Use dental floss : Use dental floss or interdental brushes daily to clean the gaps between teeth and remove dental plaque.
Mouthwash : Use antibacterial mouthwash to reduce the number of bacteria in the mouth and prevent periodontal disease. - Quit smoking :
Avoid tobacco : Smoking is an important factor that can cause discoloration of teeth, and smoking should be quit as much as possible.
Substitutes : Use nicotine patches or gum substitutes to help quit smoking. - Regular Inspection :
Dental examination: Conduct a comprehensive dental examination every six months to one year to promptly detect and treat early lesions.
Professional scaling : Regularly perform dental scaling to remove tartar and plaque, and prevent periodontal disease.
Treatment methods
Once tooth discoloration occurs, seek medical attention promptly and take appropriate treatment measures according to the condition:
- Basic treatment :
Cleaning and Polishing : Removing tartar and plaque through cleaning, polishing the surface of teeth, and reducing pigmentation.
Fluoride treatment : Use fluoride gel or mouthwash to help strengthen enamel and reduce sensitivity. - Professional Whitening :
Home Whitening Kit: Use commercially available home whitening kits and follow the instructions to gradually improve tooth color.
Clinic Whitening: Under the guidance of a dentist, professional teeth whitening treatments such as laser whitening or cold light whitening can achieve more significant results. - Endogenous discoloration treatment :
Medication therapy : For endogenous discoloration such as tetracycline teeth, bleach or medication therapy can be attempted.
Dental crowns or veneers: For severe endogenous discoloration, dental crowns or veneers can be considered for restoration to restore dental aesthetics. - Dental pulp treatment :
Root canal treatment: For discoloration caused by pulp necrosis, bleaching agents or restorative materials can be used to restore tooth color after root canal treatment. - Laser therapy :
Laser Whitening: Using lowintensity lasers to activate whitening agents, accelerate pigment decomposition, and achieve whitening effects.
Laser depigmentation: For specific pigmentation, laser is used to remove pigments and restore the natural color of teeth.
Conclusion
Tooth discoloration is a problem caused by multiple factors, involving both internal and external factors. By understanding the causes, symptoms, and prevention methods of tooth discoloration, we can take scientific and reasonable measures to effectively manage and prevent this problem. I hope this article can help readers better understand the truth behind tooth discoloration, take appropriate preventive and treatment measures, and protect their own and their family’s oral health. Through comprehensive management and timely treatment, we can have white and bright teeth and show a confident smile.











































Discussion about this post