brightbitehub
  • Home
  • Dental Care
    Are You Damaging Your Gums While Brushing? Common Brushing Mistakes Explained

    Are You Damaging Your Gums While Brushing? Common Brushing Mistakes Explained

    The Unsung Hero: Can a Bottle of Artificial Saliva Truly Save Your Smile?

    The Unsung Hero: Can a Bottle of Artificial Saliva Truly Save Your Smile?

    How Can You Properly Care for Your Dental Prosthetics Beyond Brushing?

    How Can You Properly Care for Your Dental Prosthetics Beyond Brushing?

    Senior Dental Care: Managing Aging-Related Oral Changes

    Senior Dental Care: Managing Aging-Related Oral Changes

    How Can You Build Lifelong Healthy Oral Habits for Children?

    How Can You Build Lifelong Healthy Oral Habits for Children?

    Hygiene Mistakes People Make Without Realizing

    Hygiene Mistakes People Make Without Realizing

  • Cosmetic Dentistry
    Is Your Age the Secret Factor in Your Smile Makeover? How Aging Redefines Cosmetic Dental Options

    Is Your Age the Secret Factor in Your Smile Makeover? How Aging Redefines Cosmetic Dental Options

    Is Tooth Bonding the Minimally Invasive Cosmetic Fix You’ve Been Looking For?

    Is Tooth Bonding the Minimally Invasive Cosmetic Fix You’ve Been Looking For?

    The Final, Most Important Step: Why Your Retainer is the True Key to Long-Term Orthodontic Success

    The Final, Most Important Step: Why Your Retainer is the True Key to Long-Term Orthodontic Success

    What Should You Know About Gum Contouring and Achieving a Balanced Smile?

    What Should You Know About Gum Contouring and Achieving a Balanced Smile?

    Are Dental Crowns Still the Gold Standard for Restoring Damaged Teeth?

    Are Dental Crowns Still the Gold Standard for Restoring Damaged Teeth?

    How Does Smile Design Software Transform the Way Dentists Plan Makeovers?

    How Does Smile Design Software Transform the Way Dentists Plan Makeovers?

  • Dental Diseases
    The Midnight Grind: Is Your Poor Sleep Secretly Destroying Your Smile?

    The Midnight Grind: Is Your Poor Sleep Secretly Destroying Your Smile?

    What Causes Tooth Erosion and How Can You Protect Your Smile Before It’s Too Late?

    What Causes Tooth Erosion and How Can You Protect Your Smile Before It’s Too Late?

    The Stages of Gum Disease and When to Worry

    The Stages of Gum Disease and When to Worry

    Understanding Early Cavities Before They Become Serious: Can You Stop Tooth Decay at Its Earliest Stage?

    Understanding Early Cavities Before They Become Serious: Can You Stop Tooth Decay at Its Earliest Stage?

    How Does the Timing of Your Meals Influence Your Risk of Cavities?

    How Does the Timing of Your Meals Influence Your Risk of Cavities?

    Can Your Diet Be Your Toothbrush? The Surprising Power of Foods That Naturally Clean Your Teeth

    Can Your Diet Be Your Toothbrush? The Surprising Power of Foods That Naturally Clean Your Teeth

  • Diet & Oral Health
    How Do Micronutrients Influence Gum Health?

    How Do Micronutrients Influence Gum Health?

    Timing Your Meals for Maximum Dental Protection

    Timing Your Meals for Maximum Dental Protection

    Are Spicy and Acidic Foods Making Your Sensitive Teeth Worse?

    Are Spicy and Acidic Foods Making Your Sensitive Teeth Worse?

    Chocolate: Friend or Foe for Your Teeth?

    Chocolate: Friend or Foe for Your Teeth?

    The Role of Probiotics in Oral Health

    The Role of Probiotics in Oral Health

    How Do Hydration and Saliva Production Protect Your Oral Health?

    How Do Hydration and Saliva Production Protect Your Oral Health?

  • Dental Tech
    How Does Ultrasonic Cleaning Technology Transform Dental Hygiene?

    How Does Ultrasonic Cleaning Technology Transform Dental Hygiene?

    Will Your Next Dentist Visit Be Run by AI? Inside the Smart Dental Clinics of the Future

    Will Your Next Dentist Visit Be Run by AI? Inside the Smart Dental Clinics of the Future

    Could Bioprinting Revolutionize Tooth Regeneration in the Future?

    Could Bioprinting Revolutionize Tooth Regeneration in the Future?

    Is a Robot the Future of Your Dental Surgery? How Robotic Assistance is Revolutionizing Precision in the Operatory

    Is a Robot the Future of Your Dental Surgery? How Robotic Assistance is Revolutionizing Precision in the Operatory

    Is Your Toothbrush Smarter Than You? How AI and Sensors Are Revolutionizing Oral Hygiene

    Is Your Toothbrush Smarter Than You? How AI and Sensors Are Revolutionizing Oral Hygiene

    What Is CAD/CAM Dentistry and How Does It Revolutionize Modern Dental Care?

    What Is CAD/CAM Dentistry and How Does It Revolutionize Modern Dental Care?

  • All
    The Midnight Grind: Is Your Poor Sleep Secretly Destroying Your Smile?

    The Midnight Grind: Is Your Poor Sleep Secretly Destroying Your Smile?

    Are You Damaging Your Gums While Brushing? Common Brushing Mistakes Explained

    Are You Damaging Your Gums While Brushing? Common Brushing Mistakes Explained

    The Unsung Hero: Can a Bottle of Artificial Saliva Truly Save Your Smile?

    The Unsung Hero: Can a Bottle of Artificial Saliva Truly Save Your Smile?

    How Can You Properly Care for Your Dental Prosthetics Beyond Brushing?

    How Can You Properly Care for Your Dental Prosthetics Beyond Brushing?

    How Does Ultrasonic Cleaning Technology Transform Dental Hygiene?

    How Does Ultrasonic Cleaning Technology Transform Dental Hygiene?

    Will Your Next Dentist Visit Be Run by AI? Inside the Smart Dental Clinics of the Future

    Will Your Next Dentist Visit Be Run by AI? Inside the Smart Dental Clinics of the Future

  • Home
  • Dental Care
    Are You Damaging Your Gums While Brushing? Common Brushing Mistakes Explained

    Are You Damaging Your Gums While Brushing? Common Brushing Mistakes Explained

    The Unsung Hero: Can a Bottle of Artificial Saliva Truly Save Your Smile?

    The Unsung Hero: Can a Bottle of Artificial Saliva Truly Save Your Smile?

    How Can You Properly Care for Your Dental Prosthetics Beyond Brushing?

    How Can You Properly Care for Your Dental Prosthetics Beyond Brushing?

    Senior Dental Care: Managing Aging-Related Oral Changes

    Senior Dental Care: Managing Aging-Related Oral Changes

    How Can You Build Lifelong Healthy Oral Habits for Children?

    How Can You Build Lifelong Healthy Oral Habits for Children?

    Hygiene Mistakes People Make Without Realizing

    Hygiene Mistakes People Make Without Realizing

  • Cosmetic Dentistry
    Is Your Age the Secret Factor in Your Smile Makeover? How Aging Redefines Cosmetic Dental Options

    Is Your Age the Secret Factor in Your Smile Makeover? How Aging Redefines Cosmetic Dental Options

    Is Tooth Bonding the Minimally Invasive Cosmetic Fix You’ve Been Looking For?

    Is Tooth Bonding the Minimally Invasive Cosmetic Fix You’ve Been Looking For?

    The Final, Most Important Step: Why Your Retainer is the True Key to Long-Term Orthodontic Success

    The Final, Most Important Step: Why Your Retainer is the True Key to Long-Term Orthodontic Success

    What Should You Know About Gum Contouring and Achieving a Balanced Smile?

    What Should You Know About Gum Contouring and Achieving a Balanced Smile?

    Are Dental Crowns Still the Gold Standard for Restoring Damaged Teeth?

    Are Dental Crowns Still the Gold Standard for Restoring Damaged Teeth?

    How Does Smile Design Software Transform the Way Dentists Plan Makeovers?

    How Does Smile Design Software Transform the Way Dentists Plan Makeovers?

  • Dental Diseases
    The Midnight Grind: Is Your Poor Sleep Secretly Destroying Your Smile?

    The Midnight Grind: Is Your Poor Sleep Secretly Destroying Your Smile?

    What Causes Tooth Erosion and How Can You Protect Your Smile Before It’s Too Late?

    What Causes Tooth Erosion and How Can You Protect Your Smile Before It’s Too Late?

    The Stages of Gum Disease and When to Worry

    The Stages of Gum Disease and When to Worry

    Understanding Early Cavities Before They Become Serious: Can You Stop Tooth Decay at Its Earliest Stage?

    Understanding Early Cavities Before They Become Serious: Can You Stop Tooth Decay at Its Earliest Stage?

    How Does the Timing of Your Meals Influence Your Risk of Cavities?

    How Does the Timing of Your Meals Influence Your Risk of Cavities?

    Can Your Diet Be Your Toothbrush? The Surprising Power of Foods That Naturally Clean Your Teeth

    Can Your Diet Be Your Toothbrush? The Surprising Power of Foods That Naturally Clean Your Teeth

  • Diet & Oral Health
    How Do Micronutrients Influence Gum Health?

    How Do Micronutrients Influence Gum Health?

    Timing Your Meals for Maximum Dental Protection

    Timing Your Meals for Maximum Dental Protection

    Are Spicy and Acidic Foods Making Your Sensitive Teeth Worse?

    Are Spicy and Acidic Foods Making Your Sensitive Teeth Worse?

    Chocolate: Friend or Foe for Your Teeth?

    Chocolate: Friend or Foe for Your Teeth?

    The Role of Probiotics in Oral Health

    The Role of Probiotics in Oral Health

    How Do Hydration and Saliva Production Protect Your Oral Health?

    How Do Hydration and Saliva Production Protect Your Oral Health?

  • Dental Tech
    How Does Ultrasonic Cleaning Technology Transform Dental Hygiene?

    How Does Ultrasonic Cleaning Technology Transform Dental Hygiene?

    Will Your Next Dentist Visit Be Run by AI? Inside the Smart Dental Clinics of the Future

    Will Your Next Dentist Visit Be Run by AI? Inside the Smart Dental Clinics of the Future

    Could Bioprinting Revolutionize Tooth Regeneration in the Future?

    Could Bioprinting Revolutionize Tooth Regeneration in the Future?

    Is a Robot the Future of Your Dental Surgery? How Robotic Assistance is Revolutionizing Precision in the Operatory

    Is a Robot the Future of Your Dental Surgery? How Robotic Assistance is Revolutionizing Precision in the Operatory

    Is Your Toothbrush Smarter Than You? How AI and Sensors Are Revolutionizing Oral Hygiene

    Is Your Toothbrush Smarter Than You? How AI and Sensors Are Revolutionizing Oral Hygiene

    What Is CAD/CAM Dentistry and How Does It Revolutionize Modern Dental Care?

    What Is CAD/CAM Dentistry and How Does It Revolutionize Modern Dental Care?

  • All
    The Midnight Grind: Is Your Poor Sleep Secretly Destroying Your Smile?

    The Midnight Grind: Is Your Poor Sleep Secretly Destroying Your Smile?

    Are You Damaging Your Gums While Brushing? Common Brushing Mistakes Explained

    Are You Damaging Your Gums While Brushing? Common Brushing Mistakes Explained

    The Unsung Hero: Can a Bottle of Artificial Saliva Truly Save Your Smile?

    The Unsung Hero: Can a Bottle of Artificial Saliva Truly Save Your Smile?

    How Can You Properly Care for Your Dental Prosthetics Beyond Brushing?

    How Can You Properly Care for Your Dental Prosthetics Beyond Brushing?

    How Does Ultrasonic Cleaning Technology Transform Dental Hygiene?

    How Does Ultrasonic Cleaning Technology Transform Dental Hygiene?

    Will Your Next Dentist Visit Be Run by AI? Inside the Smart Dental Clinics of the Future

    Will Your Next Dentist Visit Be Run by AI? Inside the Smart Dental Clinics of the Future

No Result
View All Result
brightbitehub
No Result
View All Result
Home All

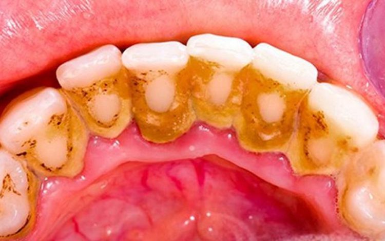
Mechanism of tartar formation and its removal methods: key steps in maintaining periodontal health

November 27, 2024
in All, Dental Diseases
Mechanism of tartar formation and its removal methods: key steps in maintaining periodontal health

Introduction

Dental calculus, also known as tartar or tartar, is a hard deposit formed after calcification of dental plaque, attached to the surface of teeth or below the gum line. Dental calculus not only affects aesthetics, but is also one of the main causes of periodontal disease and other oral problems. This article will delve into the formation mechanism, symptoms, prevention, and removal methods of dental calculus, helping readers to comprehensively understand and manage this issue and maintain periodontal health.

Formation mechanism of dental calculus

The formation of tartar is a multistage process involving the accumulation and calcification of dental plaque:

  1. Formation of dental plaque:
    Bacterial attachment: Bacteria in the oral cavity first attach to the surface of teeth, forming a thin biofilm called plaque.
    Bacterial reproduction: Bacteria in dental plaque continuously multiply, decompose food residues, produce acidic substances, and damage dental enamel.
  2. Calcification process:
    Mineral deposition: Minerals (such as calcium and phosphate) in saliva gradually deposit in dental plaque, causing it to gradually harden.
    Dental calculus formation: After a period of time, dental plaque completely calcifies, forming hard dental calculus that firmly adheres to the surface of teeth or below the gum line.
  3. Location and Type :
    Hypergingival calculus: A calculus located above the gum line, visible to the naked eye, that affects aesthetics.
    Subgingival calculus: calculus located below the gum line, which is not easily detected but causes greater damage to periodontal tissue.

Symptoms of dental calculus

The main symptoms of dental calculus include:

  1. Gingival bleeding: Gingivals are prone to bleeding when brushing or flossing, which is a manifestation of inflammation caused by tartar stimulation of the gums.
  2. Gum redness and swelling: The gum color turns bright red, the texture becomes soft, and there is pain when touched.
  3. Bad breath : Persistent bad breath or oral odor that cannot be completely eliminated even after brushing teeth.
  4. Periodontal pocket formation: A periodontal pocket with a depth of more than 3 millimeters between the gums and teeth can easily accumulate bacteria and food residue.
  5. Loose teeth: Dental calculus can cause damage to periodontal tissue, and teeth may become loose or change position.
  6. Gingival recession: The gums gradually recession towards the root of the tooth, exposing the root of the tooth and making it appear longer.

Preventive measures for dental calculus

The key to preventing tartar lies in improving lifestyle habits and maintaining good oral hygiene:

  1. Daily oral care :
    Correct brushing : Brush your teeth at least twice a day for at least two minutes each time, using a soft bristled toothbrush and fluoride toothpaste.
    Use dental floss : Use dental floss or interdental brushes daily to clean the gaps between teeth and remove dental plaque.
    Mouthwash : Use antibacterial mouthwash to reduce the number of bacteria in the mouth and prevent plaque formation.
  2. Regular Inspection :
    Dental examination: Conduct a comprehensive dental examination every six months to one year to promptly detect and treat early lesions.
    Professional scaling : Regularly perform dental scaling to remove tartar and plaque, and prevent periodontal disease.
  3. Healthy diet :
    Balanced diet : Consuming foods rich in vitamin C and calcium can enhance the resistance of teeth and gums.
    Reduce sugar intake : Limit the intake of high sugar foods and beverages such as candy, cookies, and fruit juice to reduce the formation of dental plaque.
    Drink plenty of water: Maintain sufficient water intake, promote saliva secretion, and clean the mouth.
  4. Quit smoking :
    Avoid tobacco : Smoking is an important factor in the formation of tartar and should be avoided as much as possible.
    Substitutes : Use nicotine patches or gum substitutes to help quit smoking.

Methods for removing dental calculus

Once tartar is formed, it cannot be completely removed by daily brushing and flossing alone, and professional treatment methods are needed:

  1. Basic Cleanliness :
    Ultrasonic scaling: Use an ultrasonic dental cleaning machine to remove tartar on the surface of teeth and below the gum line through highfrequency vibration.
    Manual scaling: Use a professional scraper to manually remove tartar and plaque.
  2. Smooth root surface :
    Scraping and root planing: For subgingival calculus, scraping and root planing are necessary to thoroughly remove pathological deposits on the root surface and promote periodontal tissue healing.
  3. Local antibacterial treatment :
    Topical application : use ointment or gel containing antibiotics or antibacterial agents and apply it locally to the gums and periodontal pockets to control infection and reduce inflammation.
    Mouthwash : Use antibacterial mouthwash to reduce the number of bacteria in the mouth and prevent the formation of dental plaque again.
  4. Laser therapy :
    Laser scaling: Using lowintensity laser to remove tartar through the action of light energy, reducing damage to the gums and promoting tissue repair.
  5. Home Care :
    Regular followup : After completing the cleaning, regularly visit the dentist to monitor the regeneration of tartar and adjust the treatment plan in a timely manner.
    Continue to maintain good oral hygiene: Brush your teeth, floss, and rinse your mouth daily to prevent the formation of tartar again.

Conclusion

Dental calculus is one of the main causes of periodontal disease and other oral problems. By understanding the formation mechanism, symptoms, and prevention methods of dental calculus, we can take scientific and reasonable measures to effectively manage and prevent this problem. I hope this article can help readers better understand the formation and removal methods of dental calculus, take appropriate preventive and treatment measures, and protect their own and their family’s periodontal health. Through comprehensive management and timely treatment, we can stay away from the troubles of dental calculus and enjoy a healthy and comfortable oral life.

Tags: tartar formation
ShareTweetShare

Related Posts

The Midnight Grind: Is Your Poor Sleep Secretly Destroying Your Smile?
All

The Midnight Grind: Is Your Poor Sleep Secretly Destroying Your Smile?

December 5, 2025
Are You Damaging Your Gums While Brushing? Common Brushing Mistakes Explained
All

Are You Damaging Your Gums While Brushing? Common Brushing Mistakes Explained

December 5, 2025
The Unsung Hero: Can a Bottle of Artificial Saliva Truly Save Your Smile?
All

The Unsung Hero: Can a Bottle of Artificial Saliva Truly Save Your Smile?

December 5, 2025
How Can You Properly Care for Your Dental Prosthetics Beyond Brushing?
All

How Can You Properly Care for Your Dental Prosthetics Beyond Brushing?

December 5, 2025
How Does Ultrasonic Cleaning Technology Transform Dental Hygiene?
All

How Does Ultrasonic Cleaning Technology Transform Dental Hygiene?

December 4, 2025
Will Your Next Dentist Visit Be Run by AI? Inside the Smart Dental Clinics of the Future
All

Will Your Next Dentist Visit Be Run by AI? Inside the Smart Dental Clinics of the Future

December 4, 2025

Discussion about this post

  • Trending
  • Comments
  • Latest
The Choice between All-Ceramic and Porcelain-Fused-to-Metal Crowns: Why Invest in Quality?

The Choice between All-Ceramic and Porcelain-Fused-to-Metal Crowns: Why Invest in Quality?

December 15, 2024
Which Common Foods Can Harm Your Teeth?

Which Common Foods Can Harm Your Teeth?

June 30, 2025
Which Foods Are Beneficial for Your Teeth and Can Effectively Prevent Cavities and Gum Disease?

Which Foods Are Beneficial for Your Teeth and Can Effectively Prevent Cavities and Gum Disease?

June 30, 2025
How Artificial Intelligence is Enhancing Precision in Dental Diagnosis and Treatment

How Artificial Intelligence is Enhancing Precision in Dental Diagnosis and Treatment

March 20, 2025
The Art of Dental Health: Standards and Care

The Art of Dental Health: Standards and Care

The Unsung Hero of Your Health: The Importance of Oral Hygiene Habits

The Unsung Hero of Your Health: The Importance of Oral Hygiene Habits

The truth about dental caries: understanding its causes, symptoms, and effective treatment plans

The truth about dental caries: understanding its causes, symptoms, and effective treatment plans

Causes and prevention strategies of dental caries: protecting teeth from corrosion

Causes and prevention strategies of dental caries: protecting teeth from corrosion

The Midnight Grind: Is Your Poor Sleep Secretly Destroying Your Smile?

The Midnight Grind: Is Your Poor Sleep Secretly Destroying Your Smile?

December 5, 2025
Are You Damaging Your Gums While Brushing? Common Brushing Mistakes Explained

Are You Damaging Your Gums While Brushing? Common Brushing Mistakes Explained

December 5, 2025
The Unsung Hero: Can a Bottle of Artificial Saliva Truly Save Your Smile?

The Unsung Hero: Can a Bottle of Artificial Saliva Truly Save Your Smile?

December 5, 2025
How Can You Properly Care for Your Dental Prosthetics Beyond Brushing?

How Can You Properly Care for Your Dental Prosthetics Beyond Brushing?

December 5, 2025
brightbitehub

Welcome to our Dental Health Hub, your go-to resource for all things related to oral care. We provide comprehensive information on maintaining healthy teeth and gums, understanding dental diseases, exploring cosmetic dentistry options, and the impact of diet on oral health. Stay updated on the latest advancements in dental technology and debunk common myths in our informative articles.

© 2025 glamglowup.com. contacts:[email protected]

No Result
View All Result
  • Home
  • Dental Care
  • Cosmetic Dentistry
  • Dental Diseases
  • Diet & Oral Health
  • Dental Tech
  • All

© 2025 glamglowup.com. contacts:[email protected]

Welcome Back!

Login to your account below

Forgotten Password?

Retrieve your password

Please enter your username or email address to reset your password.

Log In