Introduction
Abnormal dental development is an important issue that affects children’s oral health and quality of life. These issues not only affect chewing function and aesthetics, but may also lead to language development disorders and decreased selfconfidence. This article will delve into the clinical manifestations, causes, prevention, and treatment methods of dental developmental abnormalities, helping parents and medical professionals to comprehensively understand and manage this issue, and paying attention to the healthy growth of children.
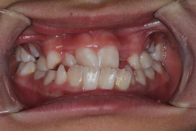
Clinical manifestations of abnormal tooth development
The manifestations of abnormal tooth development are diverse, involving aspects such as the number, shape, arrangement, and structure of teeth. Common clinical manifestations include:
- Abnormal number of teeth:
Supernumerary teeth: Extra teeth appear outside of normal teeth, affecting tooth alignment and bite relationships.
Fewer teeth : Lack of certain teeth, resulting in sparse or missing tooth arrangement. - Abnormal dental morphology:
Cone shaped teeth : Teeth are coneshaped or pointed, which affects aesthetics and chewing function.
Twin teeth : Two independent roots in one crown, affecting tooth alignment and bite relationship.
Fusion teeth: The partial or complete fusion of the crowns of two teeth affects their alignment and bite relationship. - Abnormal arrangement of teeth:
Crowding: teeth arranged too densely, resulting in overlapping or misalignment of some teeth.
Sparse: teeth arranged too sparsely, resulting in excessive gaps between teeth.
Anterior protrusion : The front teeth protrude forward, commonly known as “protruding teeth”.
Retraction : The upper teeth contract backwards, causing the upper lip to sink inward.
Reverse jaw : The lower front teeth are located in front of the upper front teeth, commonly known as “overbite”.
Open jaw: The upper and lower front teeth should not come into contact during biting, creating an open space.
Deep overbite: Excessive coverage of the lower front teeth by the upper front teeth can lead to abnormal bite relationships.
Cross bite: Individual teeth have abnormal positions, leading to disordered bite relationships. - Abnormal tooth structure:
Enamel hypoplasia: Insufficient thickness of enamel leads to rough or depressed tooth surfaces.
Dentin hypoplasia: The incomplete structure of dentin affects the hardness and luster of teeth.
Root hypoplasia: Insufficient length or abnormal morphology of the tooth root, which affects the stability of the teeth.
Causes of Abnormal Tooth Development
The causes of abnormal tooth development are diverse, involving multiple aspects such as genetics, environment, and lifestyle habits
- Genetic factors :
Family history : Children with a family history of abnormal dental development have a higher risk of developing the disease.
Genetic mutations : Certain genetic mutations may lead to abnormal tooth development. - Pregnancy factors :
Mother’s Health: The mother’s health condition during pregnancy, such as malnutrition, infections, medication use, etc., may affect the development of fetal teeth.
Environmental factors: During pregnancy, mothers may be exposed to certain harmful substances such as heavy metals, radioactive substances, etc., which may affect the development of fetal teeth. - Nutritional factors :
Malnutrition: Children who lack necessary nutrients such as vitamin D, calcium, phosphorus, etc. during their growth and development may experience abnormal tooth development.
Dietary habits : Poor dietary habits, such as high sugar diets, picky eating habits, etc., may affect the healthy development of teeth. - Disease factors :
Systemic diseases : Some systemic diseases, such as hyperthyroidism and diabetes, may affect the development of teeth.
Oral diseases such as periodontal disease and dental caries may affect the normal development of teeth. - Mechanical factors :
Finger sucking and biting: Long term finger sucking or biting on hard objects may lead to misaligned teeth and abnormal bite relationships.
Oral trauma: Accidental falls or collisions may cause tooth damage and developmental abnormalities.
Preventive measures for abnormal tooth development
The key to preventing abnormal tooth development lies in improving lifestyle habits and maintaining good oral hygiene:
- Pregnancy Care :
Maternal Health: Pregnant women should maintain good nutrition and health, avoid infections and drug abuse.
Environmental safety: Pregnant women should avoid exposure to harmful substances such as heavy metals, radioactive substances, etc. - Healthy diet :
Balanced diet : Children should consume foods rich in nutrients such as vitamin D, calcium, and phosphorus to promote healthy tooth development.
Reduce sugar intake : Limit the intake of high sugar foods and beverages such as candy, chocolate, and juice to reduce the formation of dental plaque. - Maintain good oral hygiene :
Correct brushing : Educate children to brush their teeth at least twice a day, for no less than two minutes each time, using soft bristled toothbrushes and fluoride toothpaste.
Use dental floss : Teach children to use dental floss or gap brushes to clean between teeth and remove plaque.
Mouthwash : Use antibacterial mouthwash to reduce the number of bacteria in the mouth and prevent plaque formation. - Avoid bad habits :
Quit sucking fingers and biting objects : Educate children to quit the habit of sucking fingers and biting hard objects, and avoid misaligned teeth and abnormal bite relationships.
Safety protection : Wear a mouth guard during sports activities to avoid oral trauma. - Regular Inspection :
Dental examination: It is recommended that children undergo a comprehensive dental examination every six months to one year to detect and treat early lesions in a timely manner.
Professional scaling : Regularly perform dental scaling to remove tartar and plaque, and prevent periodontal disease.
Treatment methods for abnormal tooth development
Once abnormal tooth development occurs, timely medical attention should be sought and corresponding treatment measures should be taken according to the condition:
- Drug therapy :
Supplementing nutrition: For abnormal tooth development caused by malnutrition, vitamin D, calcium, phosphorus and other nutrients can be supplemented under the guidance of a doctor.
Antibiotics: For patients with signs of infection, doctors may prescribe antibiotics to control the infection. - Repair treatment :
Filling treatment: For teeth with dental caries, composite resin or glass ionomer materials can be used for filling to restore the appearance and function of the teeth.
Dental crowns or veneers: For teeth with abnormal morphology, dental crowns or veneers can be used for restoration to protect the surface of the teeth and reduce sensitivity. - Orthodontic treatment:
Fixed braces: Use metal brackets and archwires to adjust the position of teeth and restore normal bite relationship.
Invisible braces: Use transparent plastic braces to gradually adjust the position of teeth for better aesthetics.
Functional orthodontic appliance : Suitable for children in the growth and development stage, it guides the normal development of the jawbone and teeth through active orthodontic appliances. - Surgical treatment :
Removal of supernumerary teeth : For supernumerary teeth, surgical removal can be performed to restore normal tooth alignment.
Periodontal surgery: For teeth loosening caused by periodontal disease, periodontal surgery such as flap surgery and bone transplantation can be performed to restore the health of periodontal tissue.
Orthognathic surgery: For severe abnormalities in jaw bone development, orthognathic surgery may be necessary in conjunction with orthodontic treatment to restore normal occlusion. - Psychological Intervention :
Counseling : For psychological problems caused by abnormal dental development, such as low selfesteem, anxiety, etc., you can seek the help of a psychological counselor to learn how to cope with stress.
Conclusion
Abnormal dental development is an important issue that affects children’s oral health and quality of life. By understanding the clinical manifestations, causes, and prevention methods of abnormal tooth development, parents and medical professionals can take scientific and reasonable measures to effectively manage and prevent this problem. I hope this article can help readers better understand the prevention and treatment methods for abnormal dental development, and pay attention to the healthy growth of children. Through comprehensive management and timely treatment, we can ensure that children have healthy teeth and beautiful smiles, and enjoy a healthy and comfortable life.











































Discussion about this post