What Is Periodontitis? Understanding the Severe Stages of Gum Disease
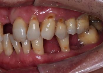
Gum disease is one of the most common oral health problems that affect millions of people worldwide. If left untreated, ...
Gum disease is one of the most common oral health problems that affect millions of people worldwide. If left untreated, ...
Introduction Tooth loss is a problem that many people face at different ages, which not only affects their appearance and ...
Welcome to our Dental Health Hub, your go-to resource for all things related to oral care. We provide comprehensive information on maintaining healthy teeth and gums, understanding dental diseases, exploring cosmetic dentistry options, and the impact of diet on oral health. Stay updated on the latest advancements in dental technology and debunk common myths in our informative articles.
© 2025 glamglowup.com. contacts:[email protected]
© 2025 glamglowup.com. contacts:[email protected]